FIRST SKIN CARE PROGRAM
때문에 흉터조직의 위축, 수축현상은 단순히 눈에 보이는 표면 부 위뿐 아니라 피부 깊은 곳까지 피부전층을 따라 발생합니다.
여드름이 발생했던 부위는 모낭의 크기나 깊이, 염증의 정도, 혈관증식의정도가 다양하기 때문에 결과적으로 흉터의 모양도 깊이도 매우 다양하게 나타나며, 효과적인 흉터치료를 위해서는 다양한
흉터의 모양과 깊이에 따른 적합한 치료접근이 필수적입니다.

넓은 형태의 여드름 흉터로 수두 흉터와
모양이 비슷하며 흉터마다
깊이가 제각각이고
여드름 진행 도중
손을 대서 생기는 경우도 많습니다.

4-5mm 정도 넓은 폭을 가진 형태로
박스마다 흉터보다 넓고 둥글며 완만하게
파여
있는 형태의 흉터입니다.
볼의 가장자리나 턱에 잘 생기는
유형으로 흔히 붉은 자국을 동반합니다.

2mm 정도의 폭이 좁으면서
예리한 모양의 흉터로 좁고 쉽게 손상되어
코와 볼, 미간에
주로 생기는 흉터입니다.
여드름흉터, 표면부터 깊은 곳까지, 피부전층치료
흉터조직의 위축, 수축은 단순히 눈에 보이는 표면 부위뿐 아니라 피부 깊은 곳 까지
피부전층을 따라
발생하기 때문에 피부전층을 재생 시키는 것이 중요
▶ 깊은부위의 흉터 : 함몰된 부위를 끌어올리기 위해 단단한 흉터조직을 풀어주고 깊은 부위의 조직을 재생시키기 위한 치료
▶
표면부위의 흉터 : 울퉁불퉁하거나 요철이 있는 표면조직을 제거 및 재생시키기 위한 치료
다양한 유형과 모양의 여드름 흉터, 상황에 맞는 병합치료!
모든 종류의 흉터를 치료하기 위한, 다양한 치료방법의 병행
시크릿프락셀
에어프락셀
피코프락셀
Needle
Subcision
기존의 프락셀치료의 한계극복! 얕은 부위부터 깊은 부위까지 피부전층의 재생!
-
피부의 ‘수분’을 타겟으로하는 기존 프락셀의 ‘외부에서 조사’한 레이저에너지는 피부상부의 수분과 반응하며 점점 감쇄되어 피부 깊은 부위까지 에너지를 전달하기에 한계가 있음
-
시크릿은 피부의 다양한 깊이에 마이크로 니들이 ‘직접 삽입’되어 얕은 부위부터 깊은 부위까지 균일하게 피부전층 재생이 가능!
아프고, 딱지 앉고, 붉어지는 프락셀? 이제 일상생활 지장없이 부담없이
- 기존의 프락셀 : -
기존의 프락셀 : 피부표면에서 레이저를 조사하여, 표피손상과 함께 피부장벽손상이 동반됨. 표면손상으로 인한 딱지발생, 민감성피부, 홍조발생, 심한 통증 등으로 일상생활에 지장이 있음
- 시크릿 : -
시크릿 : 표피 손상 없이 진피층에만 작용하여 일상생활 지장 없이, 통증없이 민감성피부에도 치료 가능
여드름 흉터와 동반된 여드름까지
-
피지선 자체에 작용하는 고주파에너지의 피지선 억제·파괴 효과로 동반된 여드름 개선 및 지성피부완화까지 가능
-
피부의 ‘수분’을 타겟으로 하는 레이저치료
-
피부외부에서 레이저 조사
-
상층부의 수분이 레이저 빛을 흡수하기 때문에 하층부에 도달하는 레이저에너지가 줄어 실제 치료가 필요한 깊은 여드름 흉터 조직까지 열을
전달하는데 한계
(역삼각형 모양의 피부재생)
-
표피·피부장벽 손상 동반 :
딱지형성 등 일상생활장애 민감성피부·홍조·민감성피부 등의 부작용 발생가능
-
통증이 심함
-
멀티니들을 이용한 고주파치료
-
피부내부에서 직접 고주파에너지 조사
-
피부진피의 다양한 깊이에 마이크로 니들이 직접 삽입되어 바늘 표면의 흉터조직에 고주파를 가하는 방식 표층은 물론 치료가 필요한 심부의 흉터부위까지 높은 에너지 전달 가능
-
피부표면 손상이 없음 :
일상생활 지장 없음, 표피손상에 따른 부작용발생 없음, 홍조·민감성피부·기미
등의 피부에도 적용 가능
-
통증이 거의 없음
모터방식의 삽입방법으로 통증이 심하지 않음

진피상층부에 단단하게 형성된 섬유성밴드를 물리적으로 끊어주는 subcision
(에어다이섹터 혹은 니들서브시전)
부분적으로 흉터의 어깨부분을 깎아 흉터모양을 완화시켜주는 레이저박피술
화학적피부재생술인 CROSS 요법을 병행하여 치료
진피 깊은 아래쪽에서 피부표면을 당기는 섬유성 밴드를 물리적으로 끊어주는 Subcision
(에어다이섹터 혹은 니들서브시전)이 반드시 필요
-
박리 후 발생하는 출혈 : 혈소판에서 분비되는 다양한 성장인자들에 의해 진피재생
필요에 따라 상처재생을 촉진하는 물질과 히알루론산 필러를 동시에 주입
화학박피제로 흉터살을 끌어올리는 화학적피부재생술인
CROSS 요법 (dot peeling)이 반드시
필요
심한 경우 CO2레이저와 병행하여 CROSS요법을 시행
FIRST
DERMATOLOGY
얕은 상처라고 할지라도 초기 염증관리가 잘 되야 붉은자국, 착색, 흉터형성의 가능성이 줄어듭니다.
퍼스트의 흉터예방을 위한 효과적인 상처치료
초기부터 염증과 상처부위 장력을 줄이고 적절한 상피형성을 위한 처치
전문적인 상처관리 : 습윤한 환경을 유지하기 위해 적절한 습윤드레싱, 필요시 봉합, 감염관리
상피형성을 위한 EGF gel
저출력레이저요법(상처회복촉진)

혈관에서 기인한 염증성물질 (cytokine)이
위축성흉터, 비대성흉터의 원인이 되는
단단한 섬유조직을 형성, 흉터의 원인이 되는
과다한 혈관을 사전에 제거하여 흉터예방

피부조직과 결합하여 화학적, 물리적 마찰을
방지하고 지속적인 보습환경 조성,
흉터를
편평하고 연하게 만들어줌

과도한 콜라겐 조직의 증식을
막아줌

흉터 주변 조직의 근육 움직임 완화로
상처부위의 장력을 줄여 흉터를 예방

상처회복, 조직재생 효과
상처 회복 중 과도한 염증으로 인해 피부하층부에 단단한 섬유성 조직이 형성되면서 만들어진 흉터
서브시전(subcision)
바늘을 이용하여 유착된 흉터조직을 박리
에어다이섹터
미세바늘을 통해 순간적으로 높은 압력의 에어를 분사하여 흉터조직을 박리
→ 유착된조직의 박리 + 박리된 공간의 조직재생
시크릿, 아그네스
단단하고 깊은 흉터조직에 직접 마이크로 니들을 삽입하여
고주파에너지를 인가하여 조직을 재생
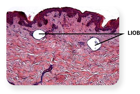
피코프락셀(피코웨이리졸브)
피코초(1조분의1초)의 매우 짧은 시간에 만들어낸 강력한 피크파워로
진피층에 미세한 공동을 만드는 LIOB현상을 이용한 새로운 콜라겐 재생
흉터 필러시술
유착된 조직 박리와 함께 박리후 생긴 공간을 물리적으로
채워두어 조직재생을 원할하게 하기 위한 치료법

피부표면정리
CO2레이저박피술
흉터표면조직에 단단하게 만들어진
단층 (Scar shoulder)를 정리하고, 흉터가 심한경우 레이저 박피를 통해 표면피부를 재생시키는 치료

혈관치료
Excel-V로 흉터의 붉음기를 제거하고 흉터진행의 원인이 되는 혈관을 제거함으로써 흉터 진행 차단

흉터 후 색소치료
피코웨이, 레블라이트SI, 포토나
Qx-Max
저출력치료를 통한 흉터와 동반된 색소침착 해결

상처회복 중 과도한 염증과 장력으로 인한 섬유아세포의 과도한
콜라겐 형성으로 만들어지는 흉터
스테로이드 (트리암시놀론)병변내 주사 + 냉동치료