페이지 상단 이미지

WHAT

소아 아토피란?

최근 아토피가 많아지는 이유는 대기오염, 모유수유의 감소,
소아기 감염질환의 감소, 생활방식의 서구화, 환경변화로 항원노출 증가 등의
이유로 소아기부터 발생하는 아토피의 유병률이 높아지고 있는 추세입니다.

아토피피부염은 알러지의 동반여부에 따라 외인성 아토피 내인성아토피로 나누는데 내인성 아토피 (외부물질에 대한 알러지가 없는 경우)는 상대적으로 느린 시기에 나타나는
경우가 많아, 소아기 아토피의 경우는 상대적으로 외부물질에 대한 알러지가 동반된 경우인 외인성 아토피가 많습니다.

부모, 형제가 아토피인 경우 소아기 때부터 아토피의 유병률이 증가합니다.
유전적인 요인, 자궁내 환경, 자궁내에서부터 음식, 외부알러젠 노출시에 면역학적인 감작으로 아토피의 유병이 증가하기도 합니다.

결국 소아기에 발생하는 아토피는 감작된 항원이 많을 가능성이 있어 원인을 파악하는 것이 중요합니다.

영유아기: 음식항원, 소아기: 흡입항원이 주로 관여.
적절한 알러지 검사가 필요함 : MAST (IgE 알러지항체검사), immunocap등의 검사 원인 알러젠이 밝혀지면 회피가 필요함.

소아 아토피의 증상

외인성 아토피

내인성 아토피

FIRST DERMATOLOGY

소아 아토피의 진단과 치료

소아아토피는 결국 피부장벽의 파괴로 발생하기 때문에 적절한 보습제의 사용이 가장 중요합니다.

동시에 악화인자(자극물질과 항원노출)을 피하고 시기에 따라 약물을 쓰면서
점차 부작용이 덜한 치료방법으로 접근하는 것이 중요합니다.

퍼스트피부과에서는 악화인자의 제거를 위한 적절한 교육과 부작용을 최소화하는
치료접근을 위해 노력합니다.

WHAT

피부건조증이란?

아토피피부염으로 진단하기 위해서는 대한피부과 학회에서 정한
명확한 진단기준이 있습니다.

이른바 ‘아토피성 피부’라 부르는 경우는 아토피의 진단기준을 충족시키지는
않지만 아토피의 증상들을 보이는 경우를 이야기하는데,
이 경우 피부가 건조한 경우가 대부분입니다.

피부가 건조한 경우는 피부장벽이 파괴된 상태로 피부가 거칠고, 건조한 피부로 인한 염증 반응이나,
색소세포의 문제로 피부톤이 불균일한 경우가 많고, 피부면역학적으로 각종 감염성 질환에 취약한 경우가 많습니다

건조한 피부는 정상적인 피부생리가 아닌 상황이기 때문에 여러 가지 피부 질환으로 이환되는 경우가 많아, 눈, 입, 귀 주위, 손발의 비특이적인 습진, 백색비강진, 광택태선,
특정 두드러기 뿐 아니라 바이러스성 사마귀, 물사마귀, 농가진 등의 감염성 질환이 동반되는 경우가 많기 때문에 피부건조증을 해결하기 위한 노력이 중요합니다.

FIRST DERMATOLOGY

피부건조증 치료

피부건조증은 손상된 피부장벽을 회복 시켜주는 것만으로도 소아기때 이환
될 수 있는 여러 가지 피부과적인 질환을 예방하는 데에 많은 도움이 될 수 있습니다.

결국 피부건조증에 대한 해답은 피부 상황에 적절한 보습제의 도포시 중요합니다.

WHAT

소아농가진이란?

주로 소아기에 발생하는 피부의 얕은 부위에 발생하는 전염성이 있는
세균감염성 질환 전염성 농가진 (포도상구균, 연쇄상구균에 의함)과
물집성 농가진 (주로 포도상구균)으로 분류합니다.

주로 코주위 얼굴이나 팔다리에 상처를 입은 곳 2-4mm정도의 붉은 반점으로
시작하여 빠르게 물집이나 농포를 형성하며 번져나가는 양상을 보입니다.

치료가 늦을시 심부감염(봉와직염)이나, 딱지가 생기는 고름궤양증
(ecthyma), 드물게 급성 사구체 신염으로 진행을 하는 경우도 있어,
초기에 적절한 항생제를 사용하여 세균성 감염을 해결하는 것이 중요합니다.

FIRST DERMATOLOGY

소아농가진 치료

농가진 증상이 경미할 경우에는 발병 부위를 깨끗하게 씻고 소독하여 딱지를
제거합니다.

그 위로 국소치료제인 항생제 연고를 10~14일간 발라주고 합병증이 동반하거나
발병부위가 늘어난다면 반드시 항생제를 7~10일 동안 투여해줍니다.

WHAT

소아 물사마귀란?

Molluscum comtagiosum virus의 피부감염에 의해 발생하는
전염성 바이러스성 질환 아토피 피부염 등 피부가 건조하고 피부장벽이
망가져있는 상황에서 호발합니다.

3-6mm정도의 튀어나온 병변 (가운데는 함몰을 보임)이 접히는 부위 위주로
발생한 병변은 수개월간 지속되다가 접촉으로 전파가 가능합니다.

FIRST DERMATOLOGY

퍼스트 피부과의 치료전략

소아 물사마귀 치료방법

대부분 흉터없이 치유되나 2차성으로 세균감염이 동반되는 경우 흉터가
생길 수 있습니다.

큐렛이나 핀셋으로 제거를 해주는 것이 좋습니다.

단, 얼굴부위는 흉터가 발생 할 수 있어 바늘로 구명을 내어 짜주거나
탄산가스 레이저 등을 이용하여 소작 시키는 것이 좋습니다.

소아 물사마귀 치료방법

피부의 제일 바깥 층인 표피만 손상된 경우는 소아의 경우
재생능력이 빠르기 때문에 크게 문제가 없으나, 진피층까지 깊게 손상이 되는 경우는 살이 차오르는 데에 중요한 역할을 하는 피지선이 발달하지 않아 흉터로 진행할 가능성이 높습니다.

상처가 깊은 경우는 2차성 세균감염 여부를 정확히 판단하여,
필요시 항생제를 사용하고 상처에 적합한 드레싱 재료를 사용하는 것이 중요합니다.

세균감염이 동반된 경우 잘못 사용하면 오히려 세균만 증식되어 나빠지는
경우도 있어 병원에서 판단을 하고 치료하는 것이 중요합니다.


또한 상처회복 후 붉은자국이나 착색이
생각보다 오래 지속되는 경우가 있어 빠른 치료가 필요하기도 합니다.

퍼스트는 상처의 상태에 따른 적절한 약물과 드레싱, 필요시 봉합치료
그리고 재생레이저 치료까지 흉터를 최소화 하기 위한 치료를 시행합니다.

WHAT

탈모란?

다양한 원인(스트레스 등)에 의해 우리 몸의 면역세포들이 모낭 깊숙한
부위의 색소를 이물질로 인식하여 이를 공격해 모낭 주위에 생긴
염증반응으로 발생하는 탈모입니다.

모발 성장의 근원이 되는 뿌리세포는 파괴되지 않아 영구탈모를 일으키진
않지만 치료가 늦어지는 경우 예후가 나쁠 수 있어 빠르고 지속적인 치료가
필요합니다.

탈모의 종류

남성형 탈모

여성형 탈모

휴지기 탈모

WHAT

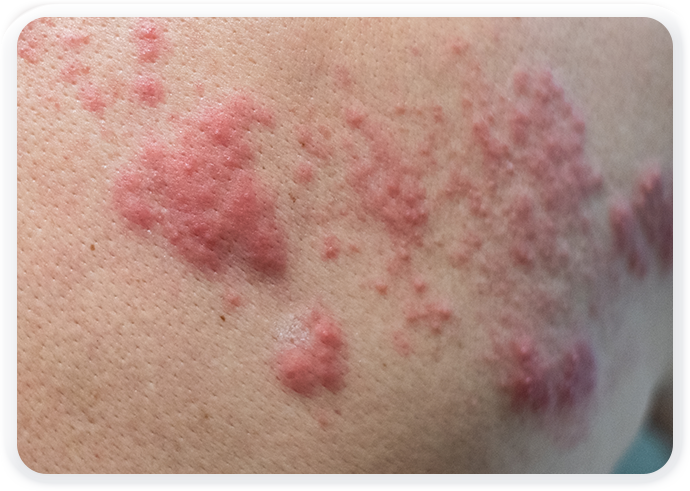
대상포진이란?

대상포진 원인, 증상 설명, 치료가 늦게되면 이후 신경통이 발생될 수 있으며,
(원래 신경주위가 염증이 회복되는데에 가장 오래 걸리게 됩니다.)
오랜 기간 통증이 지속될 수 있어 빠른 치료가 필요합니다.

FIRST DERMATOLOGY

퍼스트 피부과의 치료전략

대상포진의 치료

대상포진의 기본치료는 항바이러스제 경구복용 대상포진 후 신경통 예방을 위한
적절한 신경주위 염증 억제제 사용하게 되며, 물집 이후 생기는 2차성 세균감염
> 예방을 위한 드레싱을 진행하고, 필요시 항생제 사용합니다.

대상포진 후 신경통
약물치료+ 국소신경블럭치료
+ He-Ne laser/LLLT (저출력광선치료) 병행


대상포진 늘어나는 추세. 대상포진 예방접종도 같이 시행

WHAT

화상이란?

불이나 뜨거운 물, 화학물질 등에 의해 피부 및 조직이 손상된 것을
화상이라고 하며, 일반적으로 증상에 따라 1도에서 4도로 구분합니다.

정도를 파악할 때는 화상을 입은 넓이와 깊이에 따라 중증도를 결정하며,
화상을 입은 부위와 연령적인 요소를 고려합니다.

FIRST DERMATOLOGY

퍼스트 피부과의 치료전략

화상치료

정확한 깊이파악, 세균감염 동반여부 판단하여 적절한 항생제 사용,
필요시 진통소염제 처방, 화상드레싱(물집의 뚜껑이 절 때 벋겨지면 안됨,
습윤드레싱 시행,상처상황에 적합한 드레싱재 선택이 중요), 적절한 치료가 병행되면
흉터의 발생을 최소화 시킬 수 있습니다.

화상 상처치료

상처가 깊은 경우는 2차성 세균감염 여부를 정확히 판단하여,
필요시 항생제를 사용하고 상처에 적합한 드레싱 재료를 사용하는 것이 중요합니다.


세균감염이 동반된 경우 잘못 사용하면 오히려 세균만 증식되어 나빠지는 경우도
있어 병원에서 판단을 하고 치료하는 것이 중요합니다.

또한 상처회복 후 붉은자국이나 착색이 생각보다 오래 지속되는 경우가 있어
빠른 치료가 필요하기도 합니다.

퍼스트는 상처의 상태에 따른 적절한 약물과 드레싱, 필요시 봉합치료
그리고 재생레이저 치료까지 흉터를 최소화 하기 위한 치료를 시행합니다.

WHAT

켈로이드/비대성흉터란?

켈로이드가 일반적인 흉터와 다른 점은 흉터 표면과 경계가 불분명하고
딱딱하고 두껍고, 다친지 상당한 시일이 지났음에도 작아지기는 커녕 오히려
손상된 범위를 넘어 점점 자라나 정상피부까지 침범합니다.

처음에는 분홍색 혹은 붉은 색을 띠다가 시일이 지남에 따라 차츰 갈색을 띄며
가렵고 따가운 증세를 호소하기도 합니다.

FIRST DERMATOLOGY

퍼스트 피부과의 치료전략

켈로이드/비대성흉터 치료방법

국소 스테로이드
주사치료

냉동치료
(흉터 크기감소에 도움)

혈관성병변 동반시, 사이즈가 너무 크면
혈관레이저 병행지료

  • 카톡상담

  • 온라인상담

  • 전화상담

  • 겨울이벤트

  • 프로모션