FIRST SKIN CARE PROGRAM

수분에 흡광도가 높아 열자극이 발생하는 CO2레이저의 특성을 이용
병변의 소작과 함께 주변에 퍼져있는 바이러스 입자까지 열자극을 통해 효과적으로 제거

젠틀맥스프로 병합치료로 부작용을 최소화
바이러스에 감염된 각질세포에 포함된 색소를 타겟으로 하는 치료로,
감염된 세포내의 색소가 레이저 빛을 흡수하면서 발생되는 열에너지로 사마귀를 제거합니다.
병변을 소작시키지 않고, 표피손상을 최소화하여 치료하기 때문에
붉은자국, 색소침착, 흉터 등의 부작용 가능성이 낮습니다.
FIRST
DERMATOLOGY

과한 치료 시 붉은자국, 착색, 흉터를 남기고, 약한 치료는 효과가 떨어지며
지속적으로 재발하게 됩니다.
퍼스트는 오랜 치료 경험을 통해 적절한 치료강도로 부작용과
재발이 낮은 효과적인 치료를 합니다.

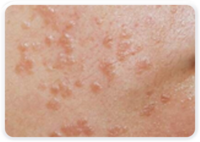
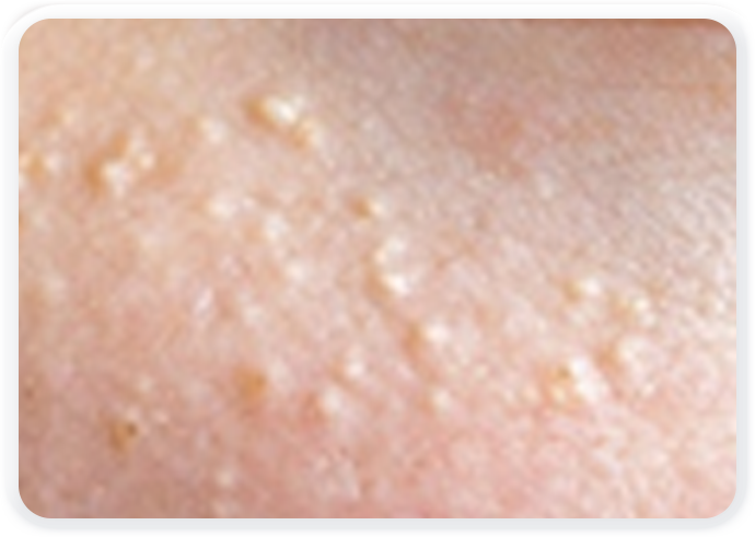
치료 후 남아있는 병변은 재발의 원인이 됩니다. 일반사마귀에 비해 크기가 작고
눈에 짤 띄지 않는 병변이 많기 때문에 충분한 시간을 들여 꼼꼼하게 치료하는 것이
무엇보다 중요합니다.
퍼스트는 정확한 진단을 바탕으로 충분한 시간을 투자하여 꼼꼼하게
편평사마귀 병변을 제거합니다.

지나친 열자극은 착색, 흉터 등의 부작용 발생 가능성이 높습니다.
퍼스트는 부작용을 최소화하기 위해 부작용의 가능성이 높은 경우
CO2레이저치료와 함께 젠틀맥스프로를 병행하여 치료합니다.

과도한 시술 시, 붉은자국, 착색, 흉터 등을 남길 수 있어 병변의 크기에 따라 적절한 구멍을 뚫어
피부손상 없이 조심스럽게 압출해야 합니다.
부적절한 제거로 낭종이 남아있으면 재발의 가능성이 높습니다.
높은 출력의 에너지를 짧은 시간 동안 피부에 조사하여 피부조직의 열손상을 최소화하고 조직의
탄화를 막을 수 있는 울트라펄스형 CO2레이저가 가장 많이 사용됩니다.

조직손상이 적은 N-PULSE CO2레이저,
적절한 강도의 CO2레이저 시술

피부손상 없는 압출,
낭종의 확실한 제거로 재발을 최소화

붉은자국, 착색,
흉터의 부작용을 최소화
